Ortopedik Sabitleme ve Düzeltme Yöntemleri
Evcil dostlarınızın kemik ve eklem yaralanmalarında, uzman ekibimiz en uygun sabitleme ve düzeltme yöntemini seçer. Kullanılan yöntemler arasında:
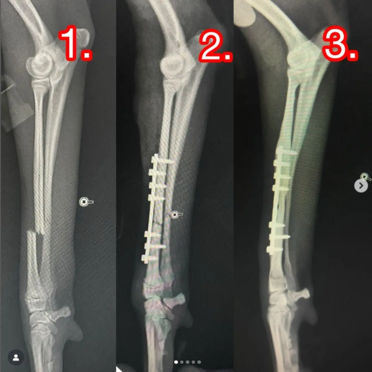
Vida ile Sabitleme ve Düzeltme: Kemik kırıklarını stabilize etmek ve doğru pozisyonda kaynamasını sağlamak için uygulanır.
Pin ile Sabitleme ve Düzeltme: İnce metal çubuklar kullanılarak kırıklar ve eklem deformiteleri düzeltilir.
Eksternal Fiksatör ile Sabitleme ve Düzeltme: Kırık veya çıkıkları dışardan sabitleyen cihazlarla tedavi edilir.
Plak ile Sabitleme ve Düzeltme: Kemiklerin doğru şekilde birleşmesi için cerrahi olarak plak ve vida sistemi uygulanır.
Diğer Yöntemler ile Sabitleme ve Düzeltme: Vakaya özel modern cerrahi teknikler ve kombinasyonlar kullanılır.
Ortopedik Tedavi Uygulanan Durumlar
Klinik olarak aşağıdaki durumlarda ortopedik tedavi ve cerrahi müdahale sağlanmaktadır:
Eklem Kırıklarının Sabitlenmesi: Omuz, dirsek ve diz eklemlerindeki kırıkların güvenli şekilde onarılması.
Köpek Kalça Displazisi: Kalça çıkıkları ve doğumsal kalça problemlerinin cerrahi ve konservatif tedavi yöntemleri.
Patellar Luksasyon: Diz kapağı çıkıklarının düzeltilmesi ve stabilizasyonu.
Çapraz Bağ Kopuğu: Ön ve kranial çapraz bağ yaralanmalarının onarımı.
Kas ve Tendon Yaralanmaları: Tendon ve kas hasarlarının cerrahi müdahale veya destek tedavisi ile iyileştirilmesi.
Yardıma mı ihtiyacınız var?
Sizin İçin Buradayız
Patili Dostumuzun;
- Yaşı, ırkı, cinsiyeti, kısırlaştırma durumu
- Varsa önceki tedavi süreçleri ve operasyonları
- Varsa devam eden tedavileri
- Şikayetinizin süresi ve şiddeti hakkında detaylar
- Varsa geçmiş tahlil ve testlerin dosyaları
Neden Bizi Tercih Etmelisiniz?
Uzman veteriner hekimler ve cerrahi ekip
Modern cihazlar ve steril ameliyathane ortamı
Vakaya özel bireyselleştirilmiş tedavi planları
Postoperatif rehabilitasyon ve fizik tedavi desteği



